及早監測、治療腦脫疝 追求卓越的外科加護病房
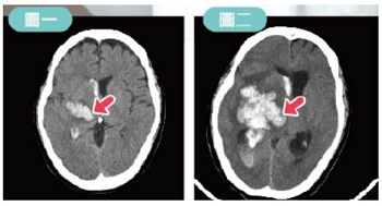
一名52歲男士,日前突然出現左側肢體無力至急診,電腦斷層掃描發現右側大腦半球基底核出血(圖一),由於血腫體積不大且意識尚未陷入昏迷,所以醫生決定暫時先入住神經外科加護病房密切觀察。
翌日淩晨意識變化,出現「腦脫疝」症狀,電腦斷層掃描追蹤出現血腫擴大(圖二),手術處理後狀況改善挽回生命。這樣的個案在外科加護房並不少見。

何謂「腦脫疝」?
成年人的頭顱是一個有一定空間的腔室,如果頭顱內有多出的物質如出血血腫、腫瘤增生或感染擴大,顱內壓便會上升,把正常腦組織擠壓產生「腦脫疝」。通常「腦脫疝」可以造成許多症狀,甚至危及性命,必須馬上手術減壓。
「腦脫疝」分為三種:大腦鎌下脫疝,小腦天幕脫疝以及扁桃體脫疝。發生早期病患會有同側肢體無力、單側瞳孔放大及對光反射消失,嚴重時意識喪失。若無馬上積極處理則無法挽救生命,所以及早偵測採取行動,不但是加護病房第一要務,也是病人安全重要課題。
外科加護病房?隊如何監測「腦脫疝」
本院外科加護病房除了臨床醫護人員定時詳細評估病患之外,更發展先進的「神經評估表」整合HIS醫療系統,以及iMMIS即時醫療資訊系統。
此「神經評估表」結合醫師、護理、醫(藥)技及資訊人員成立團隊,由現任外科部李興中部長先提出初版整合性構想,本院資訊部同仁協助開發,自2013年5月3日上線,至今嘉惠無數病患。「神經評估表」不僅清楚記錄病況變化,而且提醒醫師早期介入治療。
「神經評估表」的主要內容?
「神經評估表」除了最基礎的昏迷指數(Glasgow Coma Scale)、雙側瞳孔大小、光反射及雙側上下肢肌力之外,還有顱內壓測量值以及降顱內壓藥物之使用記錄。
昏迷指數:分眼睛、動作及語言三部分評估病患意識。在神經加謢病房中,每位病患每小時至少有一次神經評估。
瞳孔大小、光反射:「腦脫疝」最常影響第三對顱神絰(動眼神經),所以瞳孔的大小及光反射可以是首先出現的症狀。
雙側上下肢肌力評估:「腦脫疝」常影響對側大腦腳的功能,造成同側肢體癱瘓。
顱內壓測量值:包括連通管水柱測量(單位為公分水柱)及標準壓力計測量(單位為毫米汞柱)兩種。
降顱內壓藥物:包含便用品項、劑量及頻率。
「神經評估表」如何在此病患上發揮作用?
(圖三)表示此病患在凌晨五時至六時之間,昏迷指數包含眼睛、動作及語言三部分的分數都下降,右眼瞳孔放大而且大小較左眼大而且合?光反射消失,同時右側肢體肌力也下降,表示右大腦半球之病灶正迅速擴大中,造成小腦天幕之「腦脫疝」現象。此時外科加護病房團隊立即通知醫生採取進一步積極治療減低腦壓。
此神經評估表亦可表示病患的腦壓隨降壓藥品使用而變化情形,讓醫生可以用此部分做為選擇藥物、調整劑量及頻率之參考。

結語
一年多來,「神經評估表」不斷地記錄著外科加護病房對每位病患的呵護。藉著醫療資訊與臨床人員的結合,我們的團隊正不斷追求卓越,為病人安全與醫療品質做最大的努力。
